
内容来源 | 快乐1062
记者 | 麦洁
通讯员 | 王苏琦
“黄恒受伤啦!”
3月15日,深大总医院产科微信群突然炸出一张图片——产科同事们这才得知,两天没见着人的助产士黄恒,在核酸采样时不小心扭伤脚,骨折住院了。
原来,3月12日,黄恒带队支援桃源街道塘朗社区核酸采样任务,在清点物资时不小心踏空台阶,重重地扭了脚。按照社区安排,采样8点半开始,居民已经排起了队,黄恒一心想着“不能耽误开台,让居民久等”,于是咬牙穿起了防护服。有社区志愿者拿来冰袋,帮她绑在脚上。
轻伤不下火线,黄恒一只脚踩着地,一只脚微微翘起,忍疼坚持了两个多小时,直到组员赶来换班。事后,社区工作人员向报社爆料,为这一感动时刻点赞。

(左图:防护服外面绑了冰袋;右图:黄恒采样时忍痛踮脚着脚)
看了报道,产科陈香娟主任突然想起,当天中午,在科室看到过坐着轮椅的黄恒,她隔着玻璃喊了一声,你们在干嘛?黄恒也喊了一声,看看这个轮椅好不好用。
“我们科的助产士对产妇一直细心,当时以为她们真的是在试轮椅”陈香娟在朋友圈写了段五味杂陈的感言。
“为什么不说实话?”
“脚摔伤了,不能干啦,挺丢人的”
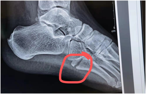
事实上,当天从采样点撤下来,黄恒一身冷汗,回到医院,拍片一看,左足第5趾骨基底部骨折。医生让她马上住院,消肿后手术。如果不马上治疗,会导致脚部肿胀加重、骨折移位,将来可能影响肢体的功能。

3月16日中午,尚剑主任亲自主刀,黄恒在关节创伤科顺利做完左足第5跖骨骨折内固定手术,打入了2枚钢钉。
最近深圳疫情严重,深大总医院各科室各部门不断抽出人力抗疫,黄恒从3月1日起,已经连续11天外出执行核酸采样任务。可这次被迫躺平,她在病床上还是放心不下,“大家都拼了,我们科护士长也出去支援了,我好着急啊”。小伙伴们纷纷安慰她,养伤最重要,我们等着你王者归来。
姑娘,休息吧,不丢人。
感谢你为这座城,拼过命。

(黄恒在核酸采样中)
版权声明:节目版权由深圳广播电影电视集团所有,未经许可,严禁转载
还没有人发言,快来抢沙发吧